Dental Implants

What is a dental implant?

If you are looking for tooth replacement, dental implant is a perfect choice that is anchored to the jaw to perform the tooth replacement. Our dentist has received wide popularity in performing the successful dental implants India with extreme technical skills. The implants are inserted into the jaw at the place where bone and ceramic implant combine with the bone to elongate the jawbone.

 

Are you eligible for dental implant?

An implant procedure is a complicated one that involves insertion of an exotic material in the body therefore dentists strictly consider the above factors to ensure the high success rate of the procedure. The cost of dental implants is highly competitive at our dental care clinic.

Dental shade guide for perfect match, Ludhiana Dental Centre, dental color matching, cosmetic dentistry tools.

When should you get a crown?

The need to apply crowns occurs due to small particles of food that are not removed by floss. These remainders cause the development of plaque and tooth decay. When the damage creates a tiny fissure in tooth, the hole should be cleaned and filled with porcelain compound to cease the tooth loss. Ignorance of tooth decay causes an increase in the cavity size that finally cannot be filled. For the large cavities, dental crowns India are needed. Crowns include tooth grinding that is similar to a tiny peg then place an artificial cap on the exposed tooth. It is a common procedure and is the ultimate option before needing a root canal.

In few cases crown helps you prevent the need of root canal. The enamel on your teeth develops a barrier between the surface and nerve end that extends to the center of your tooth. Patients with tooth decay that is not damaged though the enamel bottom and expose the nerve can choose crown. The sufficient good tooth remained to shape a peg for crown to fully rely on the top of when fitted in place. Skilled dentists clean up the tooth left and even develop a build-up to offer the required peg. But all crowns are not fit to avoid the need of root canal and a patient needs root canal in fact after receiving a crown due to weak enamel or cracked nerve end. You can discuss about the cost of dental crowns with your dentist.

Dental technician working on a dental model at Ludhiana Dental Centre, expert in dental prosthetics and restorations.

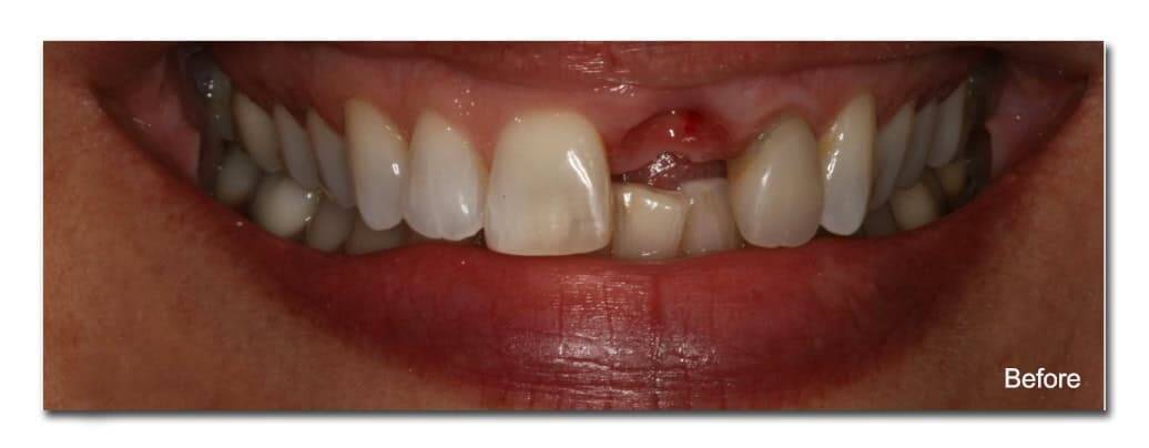
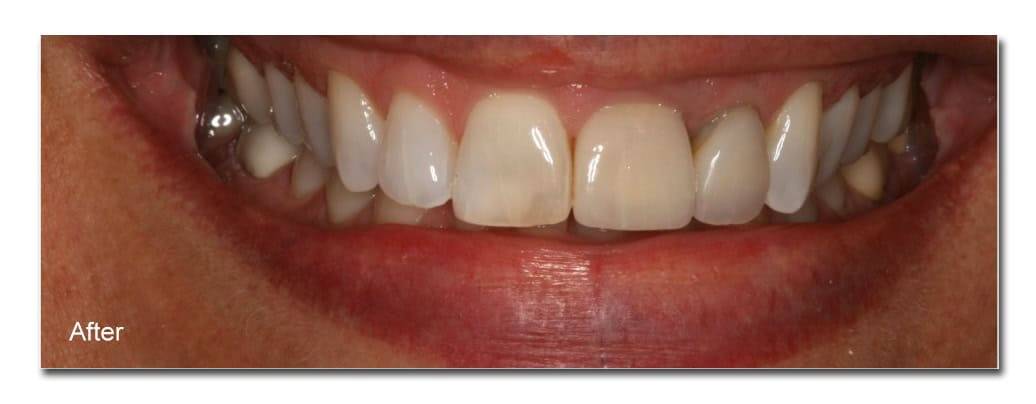
Before & After

Missing front teeth and gum injury before dental treatment at Ludhiana Dental Centre.Healthy smile with improved teeth aesthetics after dental treatment at Ludhiana Dental Centre.

Dental Implant Procedure

Dental implant with artificial tooth in upper jaw, dental restoration procedure.

Incision

Patient is fully anesthetized to create a deep incision on the gum, just above the jawbone. This split tissue is withdrawn to see the bone. The position of the incision I essential to permit the suitable gum tissue to cover the implant or cover it fully on the basis of the plans discussed.

Missing tooth dental implant procedure showing the implant post in Ludhiana.

Initial drilling

The pilot hole is made thereafter drilling is done again but at lower speed drill and various larger drill bits. After reaching the required drilling size for the implant, it is stopped. Care should be taken to keep the temperature under control to avoid any hurting nerve and cells.

Implant-supported dental crown on lower jaw for improved dental restoration.

Placing Implant

A dental implant is screwed in the cavity with a pressure sensitive wrench that is made to avoid the extensive tightening of screw or creating stress on the neighbor tissues and bone.

Dental implant with artificial tooth in upper jaw, dental restoration procedure.

Close the cavity

After screwing the implant in the bone, the soft issue is brought back in a way that permits the implant tip to expose or is fully covered by the tissue. Covering the implant completely or allowing it to emerge out of the surface is based on the prosthesis type chosen for installation.

However the dental implant is not a major surgery however giving adequate time for the implant is essential that decides its success. However bone growth is low but significant for the success to prevent the mobility of implant. Our doctor with his team is highly dedicated to offer the complete success in this procedure. Therefore they make every possible effort to make sure that you receive the positive results with the dental implant. You can also consult for mini dental implants cost by scheduling your appointment. Our surgeon will give you the best advice about the procedure.

Dental implant is made of titanium and shaped like a screw. The implant is kept in jawbone that acts as a secure root for the new tooth. The dental implant in the various types of dental restorations like crowns, bridges or dentures can be connected.

Dental Implant Procedure

Missing teeth dental prosthetic model.

A. Single tooth replacement

Partial dentures with pink acrylic gum base and artificial teeth for dental restoration.

B. Full tooth replacement

Clear dental denture for comfortable smile and oral health.

C. Multiple tooth replacement

Dental implant is ideal for people who have lost a tooth due to oral infection, injury or other causes. A patient should have good oral health to receive a successful dental implant and the procedure should be performed by an expert dentist.

 

DENTAL IMPLANTS COST

We are known for our high quality dental care with affordable charges in Ludhiana, Punjab. We are specialized in dental implants with best and advanced technology to increase the patient’s comfort and satisfaction with reduced pain and cost

The fee for dental implants depends on the various factors including the extent of problem, number of teeth being replaced, number of dental implants needed to support the replaced teeth, requirement for other additional procedure prior to the dental implants to ensure the durability of implants.

For the specific estimation of Cost Of Dental Implants In Ludhiana, Punjab patients must consult the dentist for diagnostic examination of mouth.

Latest Posts

लुधियाना डेंटल सेंटर करता है सफलतापूवर्क डेंटल इम्प्लांट सर्जरी

लुधियाना डेंटल सेंटर करता है सफलतापूवर्क डेंटल इम्प्लांट सर्जरी

लुधियाना डेंटल सेंटर के यूट्यूब चैनल पर पोस्ट एक यूट्यूब शॉर्ट्स के माध्यम से एक मरीज़ ने यह बताया की उनका नाम सुखविंदर है और

Read More »
Dental implant treatment in Ludhiana | Ludhiana Dental Centre.

डेंटल इम्प्लांट उपचार के बाद किन बातों का ध्यान रखना चाहिए ?

डेंटल इम्प्लांट उपचार एक ऐसी सर्जरी की प्रक्रिया है, जो आपके खूबसूरत दांतों को वापिस लौटाती है। ये आपकी स्माइल को बरकरार रखने में आपकी

Read More »
Dental implants in Ludhiana for improved oral health and confidence. Expert osseointegration and oral surgeon services.

डेंटल इम्प्लांट पहले के मुकाबले अब हुआ और आसान, जानिए क्या कहना है दंत चिकित्सक का ?

आधुनिक दंत चिकित्सा के क्षेत्र में, दंत के इम्प्लांट ने दांतों के प्रतिस्थापन के तरीके में क्रांति ला दी है। ये कृत्रिम फिक्स्चर अपने स्थायित्व,

Read More »

Enquiry Form

Bright dental exam room with modern equipment at Ludhiana Dental Centre.

    Enquiry Form