Dental Crowns
WHAT ARE DENTAL CROWNS?
Dental crowns are made exactly to have impression like prepared tooth and then fixed over the tooth up to the gum line. Dental crowns are mainly used if the tooth is lost to decay and then to hold filling and for cosmetic purposes, post root canal treatment to protect the tooth.
Dental crowns are categorized in 3 types as follows
Gold crowns
These caps are noticeable so not suitable for front teeth. These crowns have strong durability and strength to protect the back teeth for biting and chewing
Ceramic or porcelain dental crowns
These crowns are best fit for the front teeth as these closely resemble the color and translucence of natural teeth so give the natural look to teeth after crowning.
Porcelain fused to metal
These crowns are also known as PFM and provide natural look of porcelain and strength of metal for crowns. These are safe and durable crowns.
WHAT YOU CAN EXPECT WHILE CROWNING?
- Crowning is the simple, comfortable and painless procedure of 5 steps only as follows
- Initially local anesthesia is applied to ensure comfortable painless treatment
- With specially designed dental tool affected tooth is prepared for crowning by proper filling in it
- Dental impression of affected tooth after filling is taken and even impression of neighboring teeth is also taken
- Temporary crown is applied to check the look and suitability
- Permanent crown is cemented into place in next visit which is prepared from the dental impression taken in 3rd step of procedure.
When should you get a crown?
The need to apply crowns occurs due to small particles of food that are not removed by floss. These remainders cause the development of plaque and tooth decay. When the damage creates a tiny fissure in tooth, the hole should be cleaned and filled with porcelain compound to cease the tooth loss. Ignorance of tooth decay causes an increase in the cavity size that finally cannot be filled. For the large cavities, dental crowns India are needed. Crowns include tooth grinding that is similar to a tiny peg then place an artificial cap on the exposed tooth. It is a common procedure and is the ultimate option before needing a root canal.
In few cases crown helps you prevent the need of root canal. The enamel on your teeth develops a barrier between the surface and nerve end that extends to the center of your tooth. Patients with tooth decay that is not damaged though the enamel bottom and expose the nerve can choose crown. The sufficient good tooth remained to shape a peg for crown to fully rely on the top of when fitted in place. Skilled dentists clean up the tooth left and even develop a build-up to offer the required peg. But all crowns are not fit to avoid the need of root canal and a patient needs root canal in fact after receiving a crown due to weak enamel or cracked nerve end. You can discuss about the cost of dental crowns with your dentist.
Crown Procedure
- Professional dentist knows the extent of tooth removal required to develop firm porcelain crowns that can secure the rest of the tooth. Tooth is grounded by 2mm on the all sides and nominally tapered.
- After grounding the edges symmetrically, any kind of decay is prevented. Dentists build the affected tooth with filling material, therefore the crown fits snugly.
- The shaved tooth is cleaned and dried, so the gum tissue will be gently pushed back to expose the tooth. When it is done, the liquid materials dabbed around the tooth. Tooth impression is created by a chemical reaction among liquids.
- Dentist takes a preformed shell and shapes it to your tooth. Temporary cement is placed that can be easily removed when patient is ready for the placement of permanent crown. 5. P
- Patient will come back after receiving the permanent crown from the lab, the second procedure may need a mild anesthesia to remove the temporary crown, clean the cement and place the permanent crown. Thereafter a few tests are conducted to confirm the symmetrical bite.
- The final part in the crown process goes easy on the affected area in patient’s mouth. There is nominal pain about which your dentist will let you know. Moreover, you have to prevent eating sticky and hard foods for maximum one to two days to enable crown cement to develop a strong bond. The patient may feel mild sensitive in the treated area that goes away with the passage of time.
HOW LONG IT TAKES TO FIT DENTAL CROWN?
In most of the cases patient can get permanent crown in two visits to clinic. In the first visit decay is removed, tooth is filled and temporary crown is fitted of plastic or metal and in second visit permanent crown is cemented at the place by removing temporary one. Each sitting can be of few hours’ means in few hours patient can get restored beautiful smile with natural and beautiful looking shining teeth.
WHAT ARE BENEFITS OF DENTAL CROWNS?
- It can replace the missing tooth with natural look
- It supports the broken or misshapen teeth
- Mimic the natural teeth
- It eradicate the chewing problems and restore beautiful smile
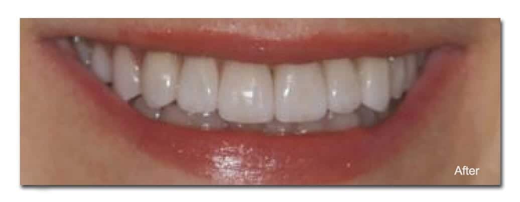
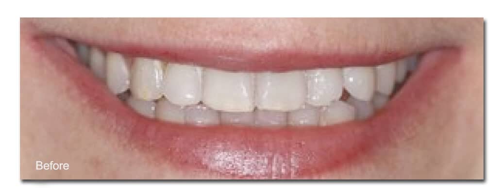
Before & After
WHAT ARE THE CAPABILITIES OF CROWNS?
Dental crowns are reliable and permanent solution for major dental issues caused due to accidents and diseases. Most of the problems like broken, damaged, misshapen teeth can be solved with crowning. Even in case if accidental damage that has caused teeth lost or broken teeth due to excessive wear, old filling breakage the porcelain crowns are best solution that stays for long and provide natural look with strength given to tooth for resuming its functioning.
Even if the patients have problem of unexplained pain in filled back teeth due to hairline cracks in the chewing part then dental crowns can not only relieves pain but also restore the functioning of teeth. In frontal filled teeth patient can face the problem of weakening in teeth and appearance issue in those teeth after sometime due to staining or chipping then porcelain crown treatment can be best solution that can give natural look.
Even the crowns are used to protect tooth after root canal treatment.
Latest Posts
Have a Look at the Process of Dental Crown Treatment
Neglecting the treatment for major dental problems can bring serious complications which can affect one’s quality of life. Dental problems can adversely impact one’s overall
A Comprehensive Guide About Dental Crowns And Bridges.
It is generally said that teeth are the strongest part of the body, although still they can get decayed or be broken owing to some
Dental Crowns: Discovering the ins and outs
It is seen that most people often overlook taking care of their oral health. This can lead to various dental and gums problems. However, there
डेंटल कैप गिर जाए, तो किन सावधानियों का रखे ध्यान ?
डेंटल कैप या टूथ क्राउन की जरूरत हमे कई बार तब पड़ती है, जब हमारे दांत टूट जाए या उनमे कीटाणुओं ने हमला कर दिया
Dental Crown: A Strength, Protector, And Enhancer For The Teeth
A dental crown is usually used for protection, strengthening, reshaping, or restoring the shape of the teeth. It is basically a cap that covers the
Frequently Asked Questions About Dental Crowns
A dental crown is becoming very common in dentistry. But, still many people are not aware of them. Here are mentioned some frequently asked questions